Take a look at the Recent articles

Cardiopulmonary Resuscitation-Associated Liver Injury and the Dilemma of Antithrombotic Therapy and Bleeding: A Case Report

Tipwarin Phongmekhin

Melbourne Medical School, Faculty of Medicine, Dentistry and Health Sciences, University of Melbourne, Australia

E-mail : aa

Kean Soon MBBS, FRACP, PhD, FSCCT

Melbourne Medical School, Faculty of Medicine, Dentistry and Health Sciences, University of Melbourne, Australia

Epworth Healthcare, Australia

DOI: 10.15761/JCCR.1000182

Article
Article Info
Author Info
Figures & Data

Abstract

Cardiopulmonary resuscitation (CPR) is the mainstay emergency management of cardiac arrest and is applied immediately while waiting for a more definite treatment to re-establish the return of spontaneous circulation. However, CPR can result in major complications, some of which can be life-threatening if not recognised in a timely fashion. We present the case of a 62-year-old woman who experienced acute myocardial infarction complicated bycardiac arrest. She was managed with percutaneous coronary intervention and started on Dual Antiplatelet Therapy (DAPT). However, her admission was further complicated by life-threatening bleeding due to CPR-related liver laceration.

Liver laceration is the most common intra-abdominal injury related to CPR. DAPT is routinely given post-PCI. However, in a case of life-threatening bleeding immediately post-PCI, DAPT becomes a treatment dilemma. This case emphasises the importance of early identification of the cause of haemodynamic instability post-cardiac arrest and the delicate task of balancing acute stent thrombosis with risk of ongoing bleed.

Keywords

cardiopulmonary resuscitation, acute coronary syndrome, acute myocardial infarction, dual antiplatelet therapy, cardiac arrest, case report

Learning Points

  • CPR complications can have life-threatening complications and awareness of compression technique is important to reducing the risk of injury.
  • In patients with compromised haemostasis, non-cardiac causes should also be considered.Liver injury is the most common intra-abdominal CPR-related injury and can have life-threatening consequences.
  • Use of antithrombotic medications in cardiac arrest should be balanced with the risk of bleeding.

Introduction

Cardiac arrest occurs in about 3.8% of cases of acute myocardial infarction [1]. Cardiopulmonary resuscitation (CPR) is invariably applied immediately while waiting for a more definite treatment to re-establish the return of spontaneous circulation. Notwithstanding its importance in such emergency, CPR can result in major complications. If not recognised in a timely fashion, some of these major complications can be fatal.Here we reported a case of a near fatal bleeding complication of CPR, and the dilemma of antithrombotic treatment post-primary Percutaneous Coronary Intervention (PCI).

Case Presentation

A 62-year-oldwoman presented to our hospital with a sudden onset of jaw and chest pain after dinner. Her medical history included hypertension, dyslipidaemia and type 2 diabetes. While waiting at the main reception of our hospital, she went into a cardiac arrest and required immediate CPR by the hospital staff. Her cardiac arrest ECG showed ventricular fibrillation. She required three cycles of CPR and two shocks of defibrillation prior to a return of spontaneous circulation. Her post cardioversion ECG showed a marked ST-elevation in the anterior leads. The cardiac catheterization laboratory (cathlab) was activated for an urgent coronary angiogram. Prior to transferring her to the cathlab, she required a bolus of adrenaline to maintain her blood pressure; she was also given aspirin was via a nasal gastric tube (NG) and heparin (5000U) intravenously en route to the cathlab.

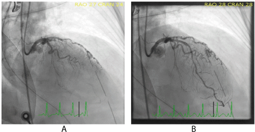
Her coronary angiogram was performed via her right femoral artery with a 6F arterial sheath. A femoral approach was used instead of a radial approach due to concerns about her borderline blood pressure which might need a mechanical haemodynamic support, such as an Intra-Aortic Balloon Pump (IABP). Her coronary angiogram showed a thrombotic occlusion of the proximal Left Anterior Descending artery (LAD) (Figure 1). The lesion was wired and predilated with a 2.5mm balloon. It was then stented with a 2.5 x18mm Onyx Drug Eluting Stent (DES). She was loaded with ticagrelor (180mg) via an NG tube. Despite successful PCI, her systolic blood pressure dipped down below 90mmHg intermittently, requiring boluses of adrenaline. Post-PCI left ventriculogram surprisingly showed hyperdynamic LV contraction with only mild apical hypokinesia. A 30cc intra-aortic balloon pump was then inserted to support her blood pressure.

Figure 1. Coronary angiogram showing stenosis of the proximal left anterior descending artery (A) before and (B) after primary percutaneous coronary intervention

Following PCI, she remained hypotensive and tachycardic. Arterial blood gas revealed lactic acidosis: pH 7.09, pO2 42mmHg, pCO2 50mmHg, bicarbonate 15mmol/L, lactate 9.7mmol/L. Haemoglobin levels as measured on blood gases fell from 108g/L pre-PCI to 24g/L post-PCI. While cardiogenic shock was considered in the setting of myocardial infarction, the sudden significant fall in haemoglobin levels prompted suspicion of haemorrhage. The subcostal view of the echocardiogram performed in the cathlab revealed possible extra-cardiac collection of fluid and markedly reduced right ventricular volume; there was minimal pericardial effusion excluding pericardial tamponade as the cause of her hypotension (Figure 2). Meanwhile, it was noted that her abdomen began to swell up, suspicious of massive intraabdominal bleeding. The massive transfusion protocol was activated, and she was immediately transfused with multiple units of packed red cells. She was immediately transferred to the radiology department for an urgent CT scan of chest, abdomen, and pelvis. Her CT scanrevealed a large amount of hemoperitoneum and liver laceration involving segments 2, 3 and 4. There was active bleeding noted during the venous phase of the scan (Figure 3).

Figure 2. Transthoracic echocardiography in the subcostal view

Figure 3. CT axial images showing haemoperitoneum and liver laceration: (A) arterial phase and (B) portal venous phase

Due to her ongoing haemodynamic instability despite ongoing packed red cell transfusion, an emergency laparotomy was performed to temporarily pack the liver with gauzes. Such measure failed to stop the bleeding and she required further laparotomies, initially to clamp the bleeding hepatic arteries and veins, and subsequently to resect the bleeding liver segment. Post-liver segment resection, she became haemodynamically stable. She was eventually weaned off the intra-aortic balloon pump and mechanical ventilation. Her recovery was complicated by thrombocytopenia with platelet count as low as 33 x 109/L requiring the cessation of DAPT. Aspirin was resumed when her platelet count exceeded 60 x 109/L and clopidogrel instead of ticagrelor was commenced when her platelet count normalised. Luckily, she made a good recovery from her MI and liver resection with no neurological deficit. She was eventually discharged home fourweeks after initial presentation.

Discussion

Diagnosing the cause of haemodynamic instability following a cardiac arrest is key tosaving the life of the patient. Although cardiogenic shock is the commonest cause of hypotension post-cardiac arrest [2], non-cardiac causes such as illustrated in our case report need to be considered as well. CPR in the setting of cardiac arrest is known to result in rib fracture, cardiac tamponade, and intra-abdominal trauma. Liver injury is the most common intra-abdominal trauma inflicted by CPR. Injury to the spleen and stomach have also been reported to a lesser degree [3-5]. A retrospective study reported major liver injury occurred in 15 out of 2558 (0.6%) cardiac arrest patients. Liver injury most often involved the left lobe. The close anatomical relation of the left liver lobe to the xiphoid bone raises the possibility that incorrect hand placement during chest compression may have contributed to injury [3]. Rosen, et al. reported a case series of liver rupture/laceration in 11 patients and liver haemorrhage/haematoma in 4 patients. Six underwent emergent surgery. Only two out of 15 patients survived the ordeal. As seen in our patient and the reported cases, haemodynamic instability with falling/low haemoglobin/haematocrit levels should prompt the suspicion of internalbleeding such as liver laceration.

Dual antiplatelet treatment post-primary PCI is a routine. However, in the setting of massive life-threatening bleeding immediately post-PCI, DAPT becomes a treatment dilemma. It is particularly so when patients also develop thrombocytopenia due to various reasons. To date, there is no specific guideline to deal with DAPT in setting of life-threatening bleeding. Most doctors would consider stopping one of the two DAPT agents.

In summary, this case report highlights a 62-year-old woman with acute myocardial infarction complicated by cardiac arrest and life-threatening bleeding due to CPR-related liver laceration. Early identification of the cause of haemodynamic instability post-cardiac arrest is crucial to saving the life of the patient. Balancing the risk of ongoing bleeding and the risk of acute stent thrombosis due to interruption of DAPT post-primary PCI is a delicate task.

Statement of Consent

Informed consent was obtained from the patient.

Funding

None.

Acknowledgements

N/A

References

  1. Kontos MC, Fordyce CB, Chen AY, Chiswell K, Enriquez JR, et al. (2019) Association of acute myocardial infarction cardiac arrest patient volume and in-hospital mortality in the United States: Insights from the National Cardiovascular Data Registry Acute Coronary Treatment And Intervention Outcomes Network Registry. Clin Cardiol 42: 352-357. [Crossref]
  2. Samsky MD, Morrow DA, Proudfoot AG, Hochman JS, Thiele H, et al. (2021) Cardiogenic Shock After Acute Myocardial Infarction: A Review. JAMA 326: 1840-1850. [Crossref]
  3. Meron G, Kurkciyan I, Sterz F, Susani M, Domanovits H, et al. (2007) Cardiopulmonary resuscitation-associated major liver injury. Resuscitation 75: 445-453. [Crossref]
  4. Rosen J, Tuchek JM, Hartmann JR (1999) Liver laceration in the hemodynamically unstable post-cardiac massage patient: early recognition and management--case report. J Trauma 47: 408-409. [Crossref]
  5. Zbar RI (1993) Liver laceration after cardiopulmonary resuscitation: a case report. Heart Lung 22: 463. [Crossref]

Editorial Information

Editor-in-Chief

Shigeo Masuda
Department of Cardiovascular Surgery

Article Type

Case Report

Publication history

Received date: April 15, 2024
Accepted date: May 24, 2024
Published date: May 27, 2024

Copyright

©2024 Phongmekhin T. This is an open-access article distributed under the terms of the Creative Commons Attribution License, which permits unrestricted use, distribution, and reproduction in any medium, provided the original author and source are credited.

Citation

Phongmekhin T, Soon K (2024) Cardiopulmonary Resuscitation-Associated Liver Injury and the Dilemma of Antithrombotic Therapy and Bleeding: A Case Report. J Cardio Case Rep 7: doi: 10.15761/JCCR.1000182

Corresponding author

Dr. Tipwarin Phongmekhin

Dr. Tipwarin Phongmekhin, Melbourne Medical School, Faculty of Medicine, Dentistry and Health Sciences, University of Melbourne, Grattan Street, Parkville, Victoria, 3010, Australia

Figure 1. Coronary angiogram showing stenosis of the proximal left anterior descending artery (A) before and (B) after primary percutaneous coronary intervention

Figure 2. Transthoracic echocardiography in the subcostal view

Figure 3. CT axial images showing haemoperitoneum and liver laceration: (A) arterial phase and (B) portal venous phase